Download Neck Schwannoma Mri Images

Download Neck Schwannoma Mri Images. Extracranial head and neck schwannomas typically present as an asymptomatic neck mass. Schwannoma or neurofibroma is the most likely diagnosis, since they can arise in this space.

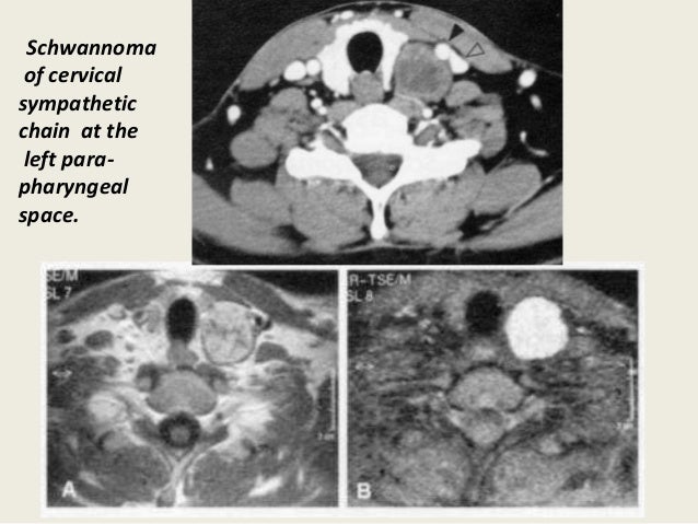
Presentation2, radiological imaging of neck schwannoma.
Presentation2, radiological imaging of neck schwannoma. from image.slidesharecdn.com
Before the advent of magnetic resonance imaging (mri), imaging of the cranial nerves (cns) was difficult, and mass lesions arising from these nerves was often indirectly detected only by looking at. Schwannomas, less commonly called neurinomas or neurilemmomas, are benign tumors this article provides a general overview of schwannomas. Indications for soft tissue neck mri scan.

For a discussion of schwannomas located at specific.

Mri is the investigation of choice in the diagnosis of schwannoma and the identication of noo. Orbital schwannoma is a rare type of peripheral nerve sheath tumor (pnst) that varies in clinical presentation. These tumors usually remain asymptomatic but present as slowly enlarging neck masses. Before the advent of magnetic resonance imaging (mri), imaging of the cranial nerves (cns) was difficult, and mass lesions arising from these nerves was often indirectly detected only by looking at.


Next Post Previous Post
No Comment
Add Comment
comment url